Endodontics (Root Canal Therapy)
End Pain Now: Advanced Root Canal Therapy & Tooth Preservation
- Relief from deep pain and infection.
- Tooth preserved, extraction avoided.

Root Canal Treatment (for Anterior, Premolar, Molar teeth)
Painless Root Canal Therapy
Removal of the infected nerve tissue to eliminate pain and save the tooth from needing to be pulled.

Emergency Root Canal Services
Same-Day Emergency Pain Relief
Immediate attention and treatment for severe, acute toothaches and sudden infection.

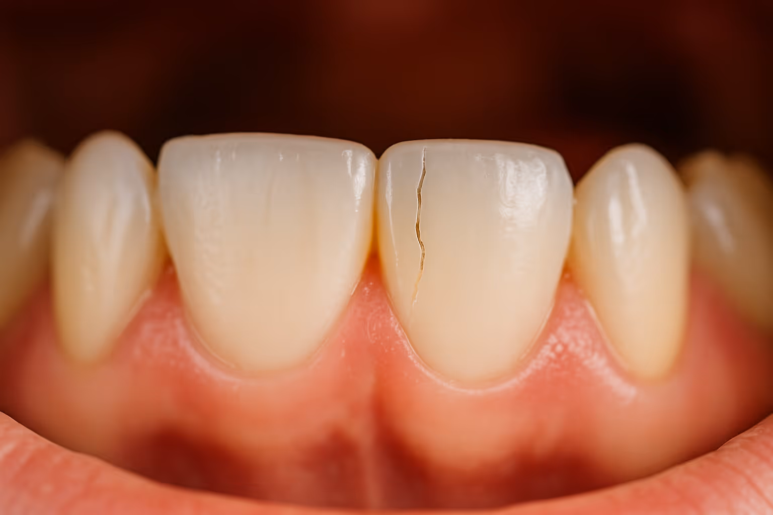
Dental Trauma Management
Treating Trauma & Minor Nerve Issues
Specialized procedures to handle complications like dental injuries, minor nerve exposure, and discoloration, aiming to preserve the tooth's vitality and appearance.

Non-Vital Bleaching
Brightening a Darkened Root Canal Tooth
Internal whitening procedure to restore the natural color of a tooth that has darkened after a previous nerve infection or root canal.

Pulp Capping (Direct & Indirect)
Protecting the Tooth Nerve (Pulp Capping)
Placing a protective material directly over or near the exposed/nearly exposed nerve to help the tooth heal itself and prevent the need for a full root canal.

Pulpotomy / Pulpectomy (Pulp Therapy, for primary & young permanent teeth)
Pulp Therapy for Children's Teeth
Specialized procedures to treat infection in the center of a baby tooth or an immature permanent tooth, helping the tooth stay in place and function until it naturally falls out or fully matures.
What Our Clients Say
view all reviews

Ready for a Healthier Smile?
Take the first step toward exceptional dental care. Our friendly team is here to make your visit comfortable, personalized, and completely stress-free.
